Nosečniški dnevnik 2: morfologija

Pa je le prišel težko pričakovani dan za enega večjih nosečniških pregledov. Na vrsto je prišla morfologija ploda, gre za ultrazvočni pregled pri katerem se natančno posvetimo različnim delom ploda in preko slike in meritev lahko izvemo, če razvoj otroka poteka normalno ali so kje kakšna odstopanja.
Na splošno so mere tokrat nekoliko manjše od tistih, ki so zapisane pri moji prvi gospodični.
Ob prihodu sem najprej predala vzorec vode, s katerim je vse v redu. V tem tednu spet pridno pridobivam na teži, govorimo o približevanju 1,5 kg dodatka. Pritisk razmeroma v redu, kljub temu, da se že cel teden spopadam z nizkim pritiskom (90/50) in posledično z nekoliko slabšim počutjem.
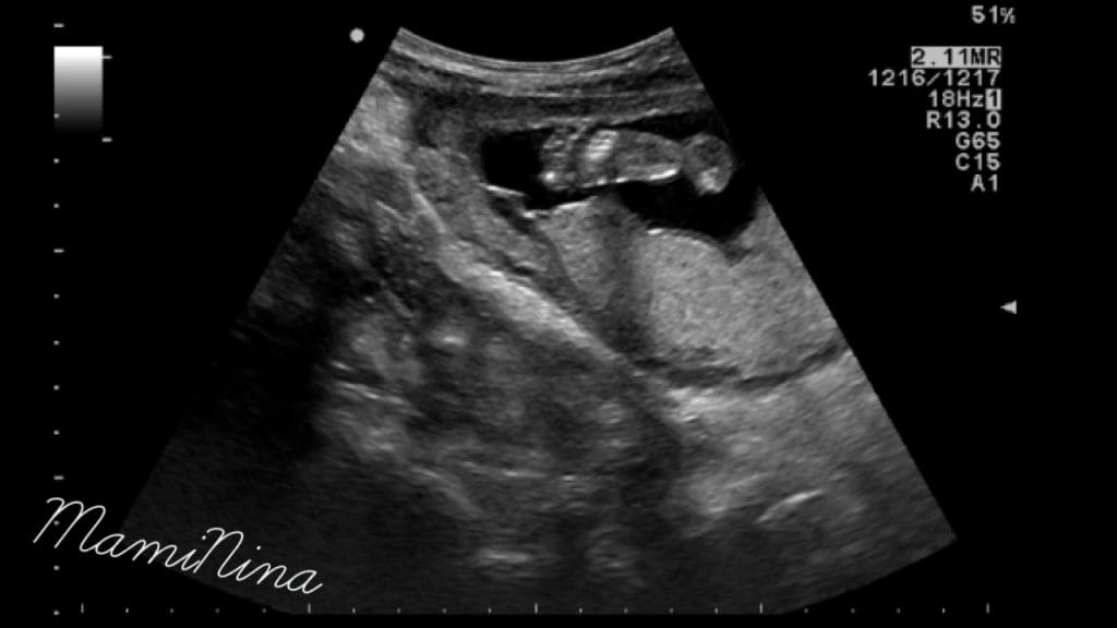
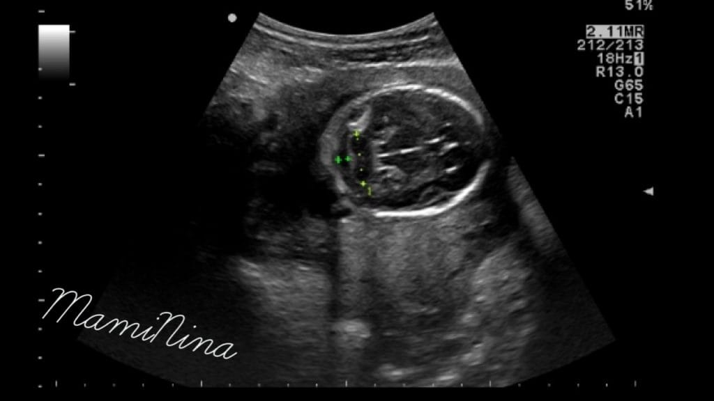
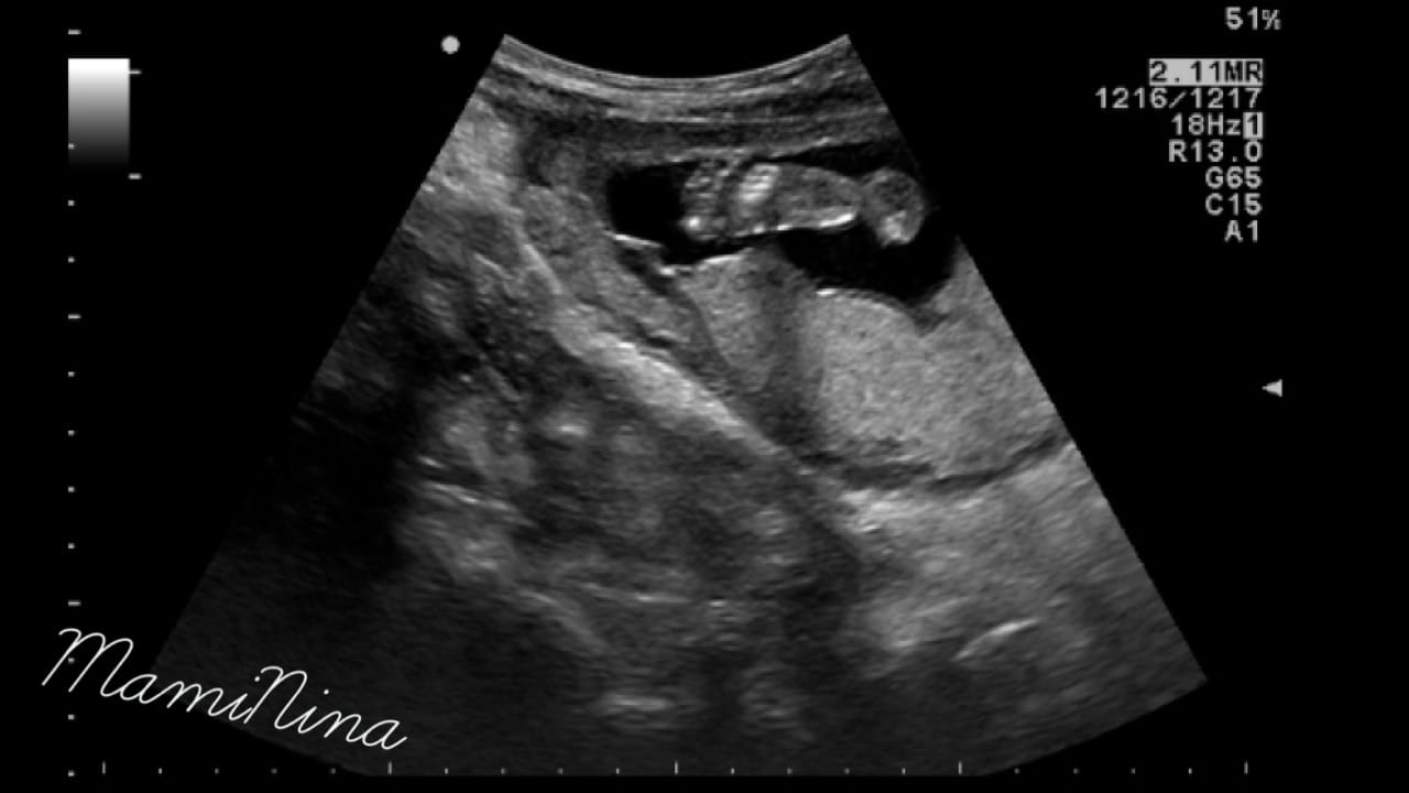
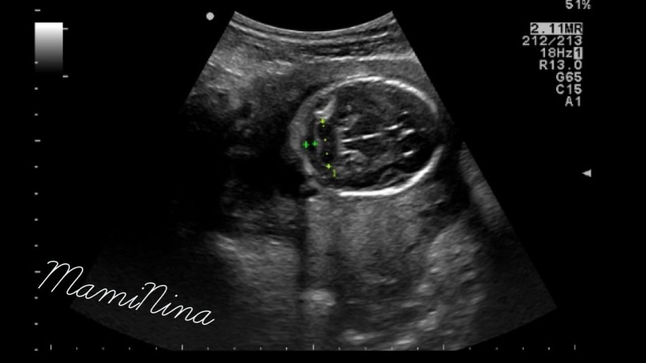
Zdravnica je izmerila dolžino maternice in pričela z ultrazvočnim pregledom. Za začetek z odličnim pogledom na utripajoči srček in njegove štiri prekate. Skozi pregled smo pregledali prav vse od začetka do konca, rokice, nogice, hrbtenico, rebra, usta, oči, res, ni da ni. Izredno se je potrudila in nama z možem pokazala vse, kar je le lahko. Pogledali smo tudi, kako je plod ravno v trenutku, ko smo opazovali profil obrazka nekaj prav na veliko pogoltnil, kar je bilo res prav zanimivo.
Med pregledom je bil seveda, tako kot vsak dan, v trebuščku pravi nogometni trening, zato smo tudi na ekranu videli, kako se premikajo roke in noge in kako je proti koncu pregleda začel plod svojo zadnjico tiščati ob trebušno steno. Vse skupaj res odlično čutim, saj se posteljica tokrat nahaja za gestacijsko vrečko, pri prvi sem vse skupaj čutila precej kasneje, ker je bila posteljica pred vrečko. Vodilni plodov del je zaenkrat glava in kar precej upam, da pri tem tudi ostane. Zaradi prvega poroda, ki se je končal s carskim rezom ravno zaradi medenične vstave, je tokrat, v primeru, da bo otrok spet sedel na ritki, skoraj sigurno edini možni porod zopet carski rez. Vseeno upam, da bom tokrat lahko dobila drugačno izkušnjo, katere me je, ne glede na izid, počasi že rahlo strah (priznam).
Glede na mere je trenutna teža ocenjena na 340 g, kar je popolnoma v mejah normale, s temi podatki pa se za nekaj dni premakne tudi predvideni datum poroda, ampak uradno v knjižici ostaja zapisan datum 2.7.2017 (prav noro lepe številke, ampak saj vemo, da se izredno malo otrok dejansko rodi na PDP).
Poleg vseh pomembnih reči pa lahko seveda ob tem pregledu precej sigurno napovedo tudi plodov spol. Kakšna so bila pričakovanja? Moj dragi je uspel že drugič pravilno napovedati, sama napovedovala nisem ničesar, načeloma ne bi imeli prav nič proti parčku, po drugi strani pa so si sestrice lahko odlične zaveznice in si med seboj pomagajo tudi takrat, kadar se ne upajo za pomoč obrniti k staršem, sorodnikom ali prijateljem.
Torej, kaj pričakujemo?
Naši veliki sestrici se bo julija pridružila še mala sestrica, očka bo torej ostal v manjšini (in prav nič hudo mu ne bo, če odmislimo, da ga čakajo trije PMS-i na mesec).
(na dodanih slikah lahko vidite glavico, nogico in profil obrazka naše princeske)
Lepo se imejte in se slišimo kmalu s pregledom novega tega tedna nosečnosti.
Nosečka Nina


