Nosečniški dnevnik 2: Pregled nuhalne svetline

14. decembra je prišel dan, na katerega sem bila naročena za pregled nuhalne svetline. Tokrat sem izbrala zdravstveni center Dravlje. Pri hčerki sem bila pri dr. Strahovi v Domžalah in sem bila zadovoljna, zakaj tokrat Dravlje? Ker mi je bilo na 3D pregledu pri hčeri tam res super.
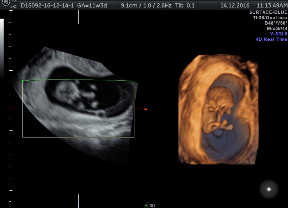
Tukaj pa so rezultati v primerjavi s prvo nosečnostjo
| 1. nosečnost | Trenutna nosečnost | |
| Trajanje nosečnosti | 11 tednov 4 dni | 11 tednov 3 dni |
| Starost mamice | 21 | 23 |
| Srčni utrip | 173 | 170 |
| Dolžina od glavice do trtice | 5,6 cm | 4,5 cm |
| Nuhalna svetlina | 1,7 mm | 1,2 mm |
| Premer glave | 16,2 mm | 14,8 mm |
| Tveganje za trisomijo 21 | 1:19494 | 1:4793 |
| Tveganje za trisomijo 18 | 1:14650 | 1:6425 |
| Tveganje za trisomijo 13 | 1:22140 | Večje od 1:20000 |
Res se dobro vidi, da sem bila pri prvi nosečnosti v absolutno najbolj primernih letih.
Tokrat sem izvedela še, da je možnost spontanega poroda pred 34. tednom 1:198, kar je še vedno precej visoko.
Če pogledamo še krivulje, hčerka je bila glede velikosti tik pod zgornjo mejo, glede dolžine nuhalne svetline rahlo nad povprečjem, glede tveganja za trisomijo 21 pa nizko. Tokrat smo se na prvih dveh krivuljah znašli ravno na povprečnih vrednostih, tveganje pa je tudi tokrat nizko.
Teh rezultatov sva se seveda oba z možem zelo razveselila.
Poleg pa sva na pregled pripeljala tudi najino hčerko. Bila je mirna in sedela pri očku v naročju. Najbolj jo je fasciniral zvok srčka, obsedela je z presenečenim izrazom na obrazu. Med pregledom pa me je večkrat pobožala, res neprecenljivi in nepozabni trenutki.
Za spol seveda nisva nič spraševala in tudi zdravnica ni govorila o tem. Bi se mogoče pustila presenetiti do konca? Ne verjamem, da bi lahko zdržala. Bomo pa videli kako bo na naslednjem pregledu pri osebni zdravnici in naprej.
